Dormir mal todas as noites não é só uma questão de cansaço acumulado. A ciência é clara: a privação crônica de sono, especialmente quando se dorme menos de 6 horas por noite, é um ataque silencioso à saúde física, mental e emocional.
O que acontece com seu corpo e mente quando você dorme pouco?
🔬 Funções cognitivas comprometidas
A memória falha, o foco desaparece e a capacidade de tomar decisões cai drasticamente. Isso acontece porque o cérebro não consegue consolidar informações corretamente quando o sono é insuficiente (Walker, 2017, Why We Sleep).
😣 Regulação emocional afetada
A privação de sono ativa de forma exagerada a amígdala, parte do cérebro ligada às emoções. Resultado: mais ansiedade, maior irritabilidade e risco aumentado de depressão (Yoo et al., Current Biology, 2007).
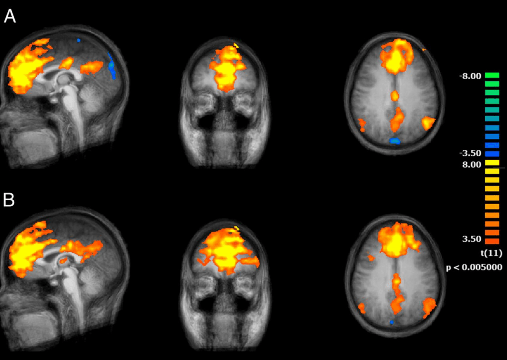
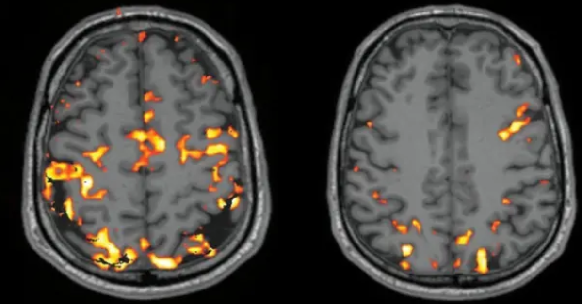
🧪 Maior risco de Alzheimer
Durante o sono profundo, o cérebro realiza uma espécie de “faxina”, eliminando toxinas. Sem isso, há acúmulo de beta-amiloides, proteínas associadas ao Alzheimer (Xie et al., Science, 2013).

⚖️ Desequilíbrio hormonal
Dormir pouco desregula os hormônios da fome. A grelina (que estimula o apetite) aumenta, enquanto a leptina (que sinaliza saciedade) diminui. Isso leva a maior desejo por alimentos calóricos e açúcar (Taheri et al., PLOS Medicine, 2004).
🛡️ Sistema imunológico enfraquecido
A falta de sono eleva os marcadores inflamatórios no organismo e reduz a capacidade do corpo de reagir a infecções (Irwin et al., Archives of Internal Medicine, 2006).
Dormir bem não é luxo – é um pilar da saúde
Colocar o sono como prioridade não é frescura, é prevenção. O descanso adequado está diretamente ligado à saúde cerebral, ao equilíbrio emocional, à imunidade e até à longevidade.
Se você está constantemente exausto, irritado, doente ou desmotivado, talvez o problema esteja começando à noite.

A realidade da população
Nos comentários nas redes sociais, relatos mostram que milhões de brasileiros enfrentam essa batalha diariamente. Mães em privação de sono, trabalhadores em jornadas exaustivas, pessoas com ansiedade, depressão ou insônia relataram os efeitos devastadores da falta de sono em suas vidas.
Muitos disseram que não é uma escolha, e sim uma consequência de um sistema que exige demais e oferece pouco em retorno. Outros apontaram possíveis soluções, como suplementação, mudanças de rotina, apoio psicológico ou até o uso medicinal da cannabis.
Dormir bem continua sendo um privilégio para muitos. Mas a informação é o primeiro passo para lutar por esse direito básico à saúde.